fetal-development
3 weeks and 1 day pregnant

Published: 29/08/16
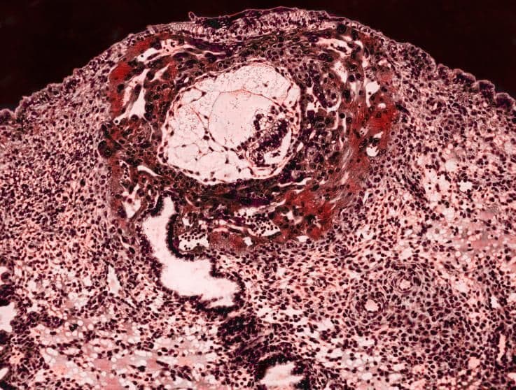
This is a cross-section of the ball of cells embedded in the uterus at this early stage of pregnancy. It contains fluid in the centre and two areas of white cells with a darker streak of cells between them – these will form the embryo, now less than 0.5mm long.
Pregnancy hormones are being produced, but it may be difficult to detect them accurately, so it’s best to wait before you do a test.
You might be keen to do a pregnancy test as you enter the fourth week of your cycle. Most women use over-the-counter home pregnancy tests. These are simple to use and work by detecting the levels of hCG in your urine – this is the hormone that is produced as soon as the embryo implants in the lining of the uterus.
There are home pregnancy tests that claim to detect a pregnancy six days before your period is due. But if you use one of these and test this early, your hCG levels may not be high enough to give a positive result, even though you might be pregnant.
I’m worried about doing a pregnancy test as my partner is going to be disappointed if I’m not pregnant. Will this affect my chances of conceiving?
Feeling under pressure to conceive is stressful, and this can affect the hypothalamus – the structure in your brain that governs your menstrual cycle. So your partner’s avid interest may actually be counter-productive.
Doctor Q&As from Parents like you
Be honest with your partner about how you feel. Explain to him that you share his enthusiasm for having a baby, but that you’re feeling pressured, and that you’re worried it will affect your ability to conceive. Conversely, if you aren’t entirely sure that you are ready for a baby, now is the time to discuss this, too. Pregnancy is a life-changing event, and both you and your partner need to be fully committed, and also aware that it can, in itself, be stressful.
Have fun together and make sure the pressure to conceive doesn’t take the fun and spontaneity out of your lovemaking.
Trying for a baby is an exciting experience, so why not keep a written record – it’s a good way to pass time in this interim period while you’re waiting to take a pregnancy test. Rather than just noting down the dates of your period and signs of ovulation, use it to record the highs and lows so far.
Once you’re pregnant, you can continue to use the diary to record your feelings: for example, your emotions when you saw the positive symbol on the pregnancy testing kit; how you broke the news to your partner and his response; what your baby’s first kick felt like; the best and worst aspects of being pregnant. You may also find that letting off steam about your partner’s foibles or your mother-in-law’s idiosyncrasies is surprisingly therapeutic!
Besides providing a unique record of your pregnancy, keeping a diary can also help you in subsequent pregnancies: for example, you may find it reassuring to look back and find that nausea and vomiting was just a phase.

Be the first to support
Be the first to share
