fetal-development
Menstrual Cycle - Week 2 - Day 5

Published: 29 Aug 2016
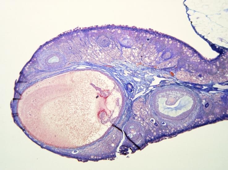
This mature ovarian follicle contains a fluid-filled cavity (pale pink) known as the follicular antrum. At this stage, just prior to ovulation, one follicle has become much larger than the others, and it is this follicle that will rupture to release an egg.
As your hormone level rises around this stage of your cycle, so might your libido – it seems nature takes care of everything!
Oestrogen levels are rising and reach their peak today, based on a 28-day menstrual cycle. The rise in oestrogen from the follicles is what stimulates the release of the LH hormone, which surges about 24 hours before ovulation. FSH from the pituitary gland starts rising later this week. Progesterone levels are low. There’s no call for this hormone until the uterus lining needs to thicken. In fact, high levels would make the cervix hostile to sperm, so they would have trouble getting through to the uterus and the Fallopian tubes to fertilize the egg.
Women also produce the male hormone testosterone and this reaches a peak around ovulation. This hormone is responsible for libido in both sexes so, hopefully, you and your partner should find you’re both in the mood for making babies at this time.
I had a miscarriage four weeks ago. Is it safe to try for another baby straightaway?
There is no exact advice on when you should try again following a miscarriage. As a general guide, wait until you’ve had one menstrual period. This will help to date the pregnancy should you conceive quickly. However, your doctor may advise otherwise, especially if your miscarriage was linked with an infection. If you are waiting for tests because you miscarried, it makes sense to have these first.
You and your partner may need time to grieve for the lost pregnancy, so it is unwise to rush into trying to conceive again. Be reassured that the vast majority of women who had a single miscarriage go on to have a baby.

Miscarrying can be extremely tough and may put a strain on your relationship. It’s worth talking about and working through your grief together before trying for another baby.
Being stressed can affect your ability to conceive.
Perhaps it’s no surprise that nature makes it more difficult to conceive in stressful circumstances. One reason might be that it reduces the ovary’s response to the hormone surge at mid-cycle. There is also a link between stress and the failure of fertility treatments, although the exact reason for this isn’t known.
Your All-In-One Baby Toolkit
Monitor milestones, growth, and discover unique baby names easily
Be the first to support
Be the first to share



